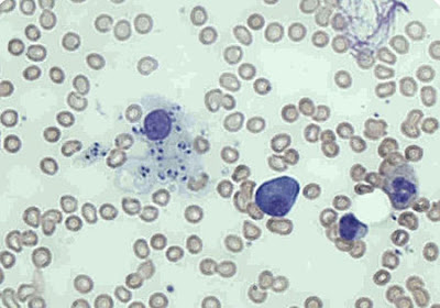
A 67-year-old white British man presented with a 2-month history of headache, fever, night sweats, and weight loss.
Read more:
Visceral leishmaniasis involving the bone marrow
Source: Blood
Art and Science of Laboratory Medicine
Facebook: www.facebook.com/LaboratoryEQAS
Twitter: LaboratoryEQAS

No comments:
Post a Comment