Saturday, November 9, 2013

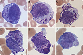
Chediak-Higashi–like granules within leukemic promyelocytes

A 59-year-old woman with disseminated intravascular coagulation was transferred after a dose of growth factor for “leukopenia.” Laboratory studies showed elevated d-dimer (201 934 ng/mL), with a white blood cell count of 41 000/mm3 (blasts, 19%; promyelocytes, 37%) and platelets of 49 000/μL, at which time all-trans-retinoic acid (ATRA) had already been instituted owing to a high suspicion of acute promyelocytic leukemia (APL). 

Read more:
Chediak-Higashi–like granules within leukemic promyelocytes



















Source: Blood
Image credits: Blood/ hematology library


______________________________________________________________

Quality and Education Services 

for Medical Laboratories and POCT


www.labquality.fi/?lang=en 

http://www.labquality.fi/eqa-eqas/


http://www.iqas.fi/in-english/

http://www.labquality.fi/eqa-eqas/eqa-eqas-education-training/



http://www.qualification.fi/______________________________________________________________

Follow Art and Science of Laboratory Medicine on


https://www.facebook.com/LaboratoryEQAS
https://twitter.com/LaboratoryEQAS

https://plus.google.com/100408138227362094524/posts

http://www.pinterest.com/labmed/medical-laboratory-and-biomedical-science/

http://www.linkedin.com/in/jwahlstedt

http://clinical-laboratory.blogspot.com/feeds/posts/default

______________________________________________________________