Art and Science of Laboratory Medicine

Art and Science of Laboratory Medicine

Sunday, August 18, 2013

Sunday Blood Cell Quiz

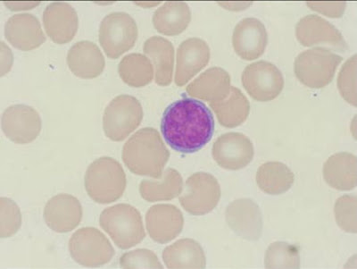
Peripheral Blood Cell Morphology

Can you identify this leukocyte?






















Correct answer: Small lymphocyte
Please view given comments on Facbook page



Art and Science of Laboratory Medicine
Twitter: LaboratoryEQAS

Follow "Art and Science of Laboratory Medicine " on:


https://www.facebook.com/LaboratoryEQAS
https://twitter.com/LaboratoryEQAS
https://plus.google.com/100408138227362094524/posts
http://www.pinterest.com/labmed/medical-laboratory-and-biomedical-science/
http://www.linkedin.com/in/jwahlstedt
http://clinical-laboratory.blogspot.com/feeds/posts/default